合骨疗伤功 新特粉碎性骨折 病例报道
国际记者良知获悉 早在2015年,习近平总书记在致中国中医科学院成立60周年贺信中就明确指出“中医药是中国古代科学的瑰宝,也是打开中华文明宝库的钥匙”,并强调“深入发掘中医药宝库中的精华,充分发挥中医药的独特优势,推进中医药现代化,推动中医药走向世界,切实把中医药这一祖先留给我们的宝贵财富继承好、发展好、利用好,在建设健康中国、实现中国梦的伟大征程中谱写新的篇章。”
气功是中华民族宝贵的历史遗产——摘自中共中央宣传部等国家六部委《关于加强社会气功管理的通知》
外气功治疗和内养功治疗,是国家认可规范的中医特殊疗法(见国家卫生健康委、国家中医药管理局、国家疾控局联合主编的《全国医疗服务项目技术规范》2023年版第2038页)
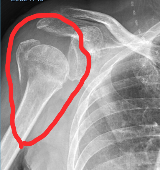
近日,有一个来自民间老中医的新特粉碎性骨折病例。其新颖特殊之处是:2026年2月1日,一位中老年知识女士,发生了右肱骨近端(肱骨头、肱骨外科颈、肱骨大结节、肱骨干上段)粉碎性骨折移位,右肩臂及手不能活动,功能丧失。伤后首先就诊咨询过三家三甲医院的五位资深骨科专家,都说必须住院做手术及换肱骨头,才能恢复到80%的功能,否则这只手就报废了。结果,确被年已八旬的民间中医梅久祥,只采用了自己继承、守正、创新的中医气功——合骨疗伤功中的带功手法整复固定术、外气功治疗术和骨折自我康复术,这些非药物疗法。没住院、没手术、没输液、没打针、没内服药、没外用药——竟然连一片止痛片都没有吃过。仅50天骨即达到临床愈合标准,解除固定。2个多月,骨折伤肢的肩、肘、腕关节和手,就基本上恢复了功能——竟然就这样便捷而且愈合康复得如此快速(网上查询:肱骨近端粉碎性骨折移位,常规住院手术、输液等治疗,一般需要6个月至1年,才能完全恢复功能)。
为响应国家领导人及国家政府部门振兴中医药事业的号召和政策方针,深入发掘中医药宝库中的精华,特此报道。 详情如下:
该右肱骨近端粉碎性骨折女士,是成都市郫都区人,也是中医药事业的热爱者及从业者,是成都市一位厅级退休干部的夫人。 该女士2026年2月1日下午,带孙子在草坪上玩耍奔跑时,滑倒致鼻部额部损伤出血,右肩臂损伤不能活动。自己在别人帮助下把鼻部额部外伤出血处理了,然后首先去了成都市郫都区某医院(三甲医院)就诊。接诊医生是某全国医疗科研名列前茅的三甲医院派对帮助郫都区某医院的资深骨科专家x教授。经CT检查确诊为:右侧上颌骨额突、右鼻骨骨质形态不规整,周围软组织肿胀并少许积气,考虑骨折可能;右肱骨近端粉碎性骨折,断端嵌插并稍错位,盂肱关节对位稍欠差,周围软组织肿胀。x教授和该医院的另两名骨科专家认为,必须住院做手术及更换肱骨头。伤者不同意住院做手术,说回家考虑下再说。伤者回家后,把郫都区另一家三甲医院,已退休的骨科专家x主任接到了家。x主任详细了解骨折伤情后,说必须住院做手术换肱骨头。并说郫都区做不了这个手术,要到某全国医疗科研名列前茅的三甲医院去做。然后x主任帮忙联系到了还在该全国医疗科研名列前茅三甲医院骨科上班的师兄x教授。该教授详细了解骨折伤情后说,这个骨折必须住院做手术,是否需要换肱骨头,只有切开看了再说。 该粉碎性骨折女士,更是坚持不住院做手术。通过四川省名中医、羌医传承人,某中医院院长的推荐,当晚23点过,该女士的丈夫同某院长一起,开车把梅久祥老中医接到家。梅久祥老中医现场做好了外固定的小夹板后,即使用合骨疗伤功的带功手法整复固定术,把骨折整复外固定好了,就采用合骨疗伤功的外气功治疗术,不接触伤者身体面对面治疗,然后给该骨折女士口传心授《合骨疗伤功——骨折自我康复术》中“培补真元”“念力疗伤”等相应的功法(属内养功治疗的范畴),每天坚持练习。早期梅久祥每隔一天去伤者家复诊及用外气功治疗一次,一个星期后就每周去复诊及用外气功治疗一次。
3月22日,伤者到郫都区中医院拍DR片复查。骨折已达到临床愈合标准——DR片上仅见肱骨大结节处的骨折影像,肱骨头关节内处骨折线、肱骨颈处骨折线和肱骨干近段内下侧约10cm多长的骨折线及肱骨头粉碎了的10多个碎骨均无明显影像。
3月23日,梅久祥到伤者家,给该伤者解除固定后,右手即能前后左右甩动,右手能摸到自己的右臀部和鼻子,能端碗吃饭,能削苹果,能写字等。
4月7日,梅久祥医生到伤者家复诊,伤肢的手已能上举过头顶了。
4月9日,该骨折伤者在微信中发给梅久祥医生看,自己伤肢右手及右前臂能反手屈肘横放到后腰背的视频。
4月15日,该骨折伤者在微信中又发给梅久祥医生看,自己骨折伤肢甩手和爬墙的视频。
该女士2月1日骨折后,到4月15日这2个多月的过程中,接受近距离(面对面)外气功治疗了10次,其中3月2日晚上11点过接受远程(距离50多公里)外气功治疗了一次,骨折早期只喝了一瓶“合骨疗伤功信息水”(即农夫山泉矿泉水+合骨疗伤功处理过的水),没住院、没手术、没输液、没打针、没内服药、没外用药——连止痛药都没有吃过一片。骨折后仅2个多月,伤肢肩、肘、腕关节和手,即恢复到了一般活动范围。实为奇效。
该右肱骨近端粉碎性骨折伤者,把自己粉碎性骨折的治疗过程,讲给亲友们听时,都不相信,说她是在讲故事。

上图是该右肱骨近端粉碎性骨折伤者2026年2月1日18时在成都市郫都区某医院(三甲医院)作CT检查的图片。图片中见:肱骨头及肱骨外科颈部位有10多块碎骨影像,肱骨大结节骨折分离,肱骨干上段内下侧有条10cm多长的骨折线。

以上图是该右肱骨近端粉碎性骨折伤者2026年2月1日18时在成都市郫都区某医院(三甲医院)作CT检查的报告单。
上图是:该右粉碎性骨折伤者2026年3月22日,在成都市郫都区某医院(三甲医院)拍的DR片图像;骨折对位良好,骨痂生长良好,骨折线模糊,仅见肱骨大结节骨折影像,右肱骨干上段内侧约10公分长的那条纵形骨折线消失了,肱骨头的骨折线及10多块碎骨均无明显影像。这是该粉碎性骨折已达到临床愈合标准的影像实证。
上图是3月22日,该骨折女士在成都市郫都区医院(三甲)作DR复查的报告单。
上图是2月1日晚给骨折伤者手法整复外固定后,实施外气功治疗视频截图。
上图是该伤者同梅久祥老中医的微信聊天截屏,其文字内容是谈3月2日晚上11点,接受梅久老中医远程(50多公里)外气功治疗的感受。
上图是3月16日晚 ,梅久祥老中医为该粉碎性骨折伤者作外气功治疗视频截图。

以上两图是3月23日晚,骨折伤者解除了外固定后,作前后左右摔手、摸鼻的视频截图。
上图是2026年4月7日晚,该右肱骨近端粉碎性骨折伤者骨折66天,伤肢手上举的视频截屏图片。
上图是2026年4月9日,伤者发给梅久祥的微信聊天视频截屏图片,骨折才68天,肱骨近端粉碎性骨折侧的手已恢复到了这样的功能,实属奇效。

上2幅图片是2026年4月15日,伤者在同梅久祥微信聊天中,发的功能锻炼视频截屏图片。
梅久祥以前有更多,用合骨疗伤功治愈的这种粉碎性骨折类型病例,并非个案。只是以前这些骨折病例,骨折后首诊即是由梅久祥这样底层的民间医生治疗到痊愈,没有“三家三甲医院五位资深骨科专家,都认为必须住院做手术”这种新颖特别的内容。
梅久祥一生继承总结本门派历代先师的经验,从事骨科临床与研究50多年,得出的结论是;70%—80%的骨折,都可以使用这种已秘传八代濒临灭绝的中医接骨气功——“合骨疗伤功”,这种非药物疗法治疗康复,不需要做手术、输液、打针和用药,即能无痛苦,更好更快地康复;20%—30%特别严重的复合性骨折伤,及同时有严重并发症或其他病骨折伤,应优选“骨折更优疗法”(即合骨疗伤功与中西医药结合治疗的方法。该论文《医学气功与中西医结合合璧——骨折更优疗法》和《合骨疗伤功——骨折自我康复术》曾获得多次国际及世界医学大会认可录用暨褒奖)。
采用合骨疗伤功这种非药物疗法治疗康复骨折,不仅仅是对人体无毒副作用,能使骨折伤者无再次伤害,无痛苦地愈合康复得快,而且还能增强伤者的心身健康,以及产生对中医的好奇和热爱。有利于振兴中医药事业,以及为人类健康事业作出应有的贡献。
